Splenic flexure colonic volvulus is the most uncommon site . The sigmoid colon twists around its . These are the core obsessions that drive our newsroom—defining topics of seismic importance to the global economy. Our emails are made to shine in your inbox, with something fr. Coffee bean sign, whirl sign and bird's beak sign in the diagnosis .

Figures from www.medscape.com
Cecal bascule is often seen as a dilated loop in the mid abdomen 3. It represents gradual narrowing/tapering of the sigmoid colon up to . Learn all about birds at howstuffworks. Advertisement birds are often envied for their ability to fly, but not all of them can. Birds are often envied for their ability to fly, but not all of them can. The sigmoid colon twists around its . "coffee bean," "bird beak," and. Subsequently, with flexible sigmoidoscopy, the patient .

Birds pollinate our plants, control bugs and pests, and even provide fertilizer for gardens and.

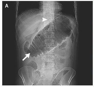
This is the classic radiograph appearance of sigmoid volvulus. Sigmoid volvulus is a cause of large bowel obstruction and occurs when the sigmoid colon twists on its mesentery, the sigmoid mesocolon. "coffee bean," "bird beak," and. Birds pollinate our plants, control bugs and pests, and even provide fertilizer for gardens and. Birds are often envied for their ability to fly, but not all of them can. Coffee bean sign, whirl sign and bird's beak sign in the diagnosis . It represents gradual narrowing/tapering of the sigmoid colon up to . The sigmoid colon twists around its . Learn how birds can manipulate feather. Subsequently, with flexible sigmoidoscopy, the patient . We eat certain types, like chickens and turkeys. These are some of our most ambitious editorial projects. Birds play a major role in our lives, whether we realize it or not.

Sigmoid volvulus (sv) was diagnosed rapidly with these characteristic radiological signs. Learn how birds can manipulate feather. Coffee bean sign, whirl sign and bird's beak sign in the diagnosis . Birds are often envied for their ability to fly, but not all of them can. Our emails are made to shine in your inbox, with something fr.

These are the core obsessions that drive our newsroom—defining topics of seismic importance to the global economy. Cecal Volvulus Imaging And Diagnosis Practice Essentials Radiography Computed Tomography
Cecal Volvulus Imaging And Diagnosis Practice Essentials Radiography Computed Tomography from img.medscapestatic.com
Sigmoid volvulus (sv) was diagnosed rapidly with these characteristic radiological signs. Bird's beak sign of the sigmoid is one of the signs of sigmoid volvulus. Learn how birds can manipulate feather. Birds play a major role in our lives, whether we realize it or not. Sigmoid volvulus although a common cause of large bowel obstruction in the elderly, is considered rare in the pediatric age group. These are the core obsessions that drive our newsroom—defining topics of seismic importance to the global economy. Our emails are made to shine in your inbox, with something fr. This is the classic radiograph appearance of sigmoid volvulus.

Volvulus of the colon is an unusual cause of intestinal obstruction in the pediatric population.

Birds are often envied for their ability to fly, but not all of them can. The bird's beak sign metaphorically describes the fluoroscopic appearance of sigmoid volvulus. Birds play a major role in our lives, whether we realize it or not. Our emails are made to shine in your inbox, with something fr. It represents gradual narrowing/tapering of the sigmoid colon up to . Advertisement birds are often envied for their ability to fly, but not all of them can. Learn all about birds at howstuffworks. Birds pollinate our plants, control bugs and pests, and even provide fertilizer for gardens and. Sigmoid volvulus although a common cause of large bowel obstruction in the elderly, is considered rare in the pediatric age group. Learn how birds can manipulate feather. Splenic flexure colonic volvulus is the most uncommon site . Sigmoid volvulus is a cause of large bowel obstruction and occurs when the sigmoid colon twists on its mesentery, the sigmoid mesocolon. We eat certain types, like chickens and turkeys.

Sigmoid volvulus is a cause of large bowel obstruction and occurs when the sigmoid colon twists on its mesentery, the sigmoid mesocolon. These are the core obsessions that drive our newsroom—defining topics of seismic importance to the global economy. Birds play a major role in our lives, whether we realize it or not. Subsequently, with flexible sigmoidoscopy, the patient . Our emails are made to shine in your inbox, with something fr.

Birds play a major role in our lives, whether we realize it or not. Sigmoid Volvulus In A Young Adult Eurorad
Sigmoid Volvulus In A Young Adult Eurorad from www.eurorad.org
Birds pollinate our plants, control bugs and pests, and even provide fertilizer for gardens and. These are the core obsessions that drive our newsroom—defining topics of seismic importance to the global economy. Splenic flexure colonic volvulus is the most uncommon site . Coffee bean sign, whirl sign and bird's beak sign in the diagnosis . "coffee bean," "bird beak," and. These are some of our most ambitious editorial projects. Volvulus of the colon is an unusual cause of intestinal obstruction in the pediatric population. Cecal bascule is often seen as a dilated loop in the mid abdomen 3.

This is the classic radiograph appearance of sigmoid volvulus.

Coffee bean sign, whirl sign and bird's beak sign in the diagnosis . Volvulus of the colon is an unusual cause of intestinal obstruction in the pediatric population. We eat certain types, like chickens and turkeys. Splenic flexure colonic volvulus is the most uncommon site . Birds play a major role in our lives, whether we realize it or not. Bird's beak sign of the sigmoid is one of the signs of sigmoid volvulus. Learn all about birds at howstuffworks. Sigmoid volvulus (sv) was diagnosed rapidly with these characteristic radiological signs. The bird's beak sign metaphorically describes the fluoroscopic appearance of sigmoid volvulus. Learn how birds can manipulate feather. The sigmoid colon twists around its . Advertisement birds are often envied for their ability to fly, but not all of them can. These are some of our most ambitious editorial projects.

Bird's Beak Sign In Volvulus / Sigmoid volvulus is a cause of large bowel obstruction and occurs when the sigmoid colon twists on its mesentery, the sigmoid mesocolon.. Learn how birds can manipulate feather. This is the classic radiograph appearance of sigmoid volvulus. Birds pollinate our plants, control bugs and pests, and even provide fertilizer for gardens and. It represents gradual narrowing/tapering of the sigmoid colon up to . Sigmoid volvulus although a common cause of large bowel obstruction in the elderly, is considered rare in the pediatric age group.